
近日,我院神经外科应用功能神经导航辅助下Endoport内镜新技术为患者成功切除脑深海绵状血管瘤(CM)。
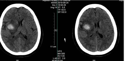
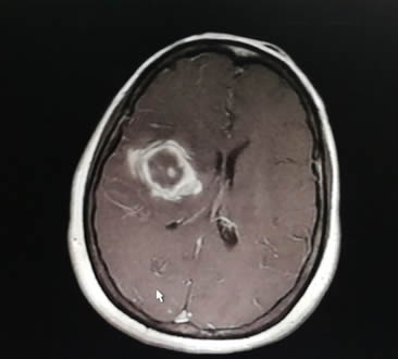
50岁的林女士因突发头疼,左侧肢体无力,无法行动,经MRI检查显示,其脑深部病变,合并出血,医生诊断为右侧基底节区巨大海绵状血管瘤破裂出血。据主管医生江常震副主任医师介绍,此类肿瘤位置越深,手术难度越大,林女士的血管瘤直径3.5cm,且脑部病变位置深,位于皮层功能区深部,难以准确暴露,且周围有重要的神经纤维束(皮质脊髓束)紧贴瘤壁穿行,使得手术难度加大,虽然显微镜下手术已有开展,但稍有不慎,便有造成永久性瘫痪或偏瘫的风险。

考虑到林女士的年龄及身体情况,经过详细的术前病例讨论,我院神经外科专家康德智教授和林元相教授决定采用功能神经导航结合Endoport内镜切除血管瘤。Endoport内镜新技术是利用一个内径仅2cm的透明管道,通过在头皮切开一个直径为5cm的口,避开功能区皮层进入额叶深部,为内镜操作建立一个安全的手术通道。利用该内镜高清、多角度侧视的特点,容易分辨病变与组织界面,并在推移而非切断周围纤维束的情况下完成肿瘤切除。手术结束时再拔除Endoport,脑组织弹回并恢复其自然位置。
历时3小时,在康德智教授团队的努力下,血管瘤所在位置被准确定位并顺利切除。术后CT提示血管瘤完全切除,功能MRI复查深部神经纤维束均正常。目前患者左侧肢体肌力较术前明显改善,可下床行走,生活基本自理。
据悉,目前国内仅有少数几家大的神经外科中心开展过此类功能神经导航辅助显微镜下手术,而在多技术辅助全程内镜下切除此类病变国内外均未见同类手术报道。我院成功开展此项技术,将为更多此类病人带来福音。




神经外科(供稿)
相关链接:
脑海绵状血管瘤系一种脑血管畸形性疾病。此血管瘤是由大小不等的血管窦所组成,管壁与毛细血管壁相似,多发生在大脑各叶、脑室壁、鞍区、桥小脑脚、小脑及硬脑膜上。血管瘤大小不等,小为数毫米,大者直径可达3~4cm,呈鲜红色或草莓状,易自发出血或血栓形成。出血后的脑CM一年内再出血率达29.5%,脑深部CM再出血率更高,而且常导致神经功能永久性障碍。当病变占位效应明显、进展性神经功能障碍以及合并顽固性癫痫时就需要考虑手术切除。